« ... A ces mots le Corbeau ne se sent pas de joie ;
Et pour montrer sa belle voix,
Il ouvre un large bec, laisse tomber sa proie.
Le Renard s’en saisit, et dit : « Mon bon Monsieur,
Apprenez que tout flatteur
Vit aux dépens de celui qui l’écoute. »

Jean de La Fontaine.




L'Intelligence
artificielle.
De l’information à la désinformation.







    Préambule :

    1 - Les différentes IA :

    2 - Qui contrôle l’IA ?

    3 - De la conception à l’usage :
        A – Modèles ouverts et fermés :
        B – Principales IA :

    4 - L’impact recherché sur les individus et les sociétés :
        A - L’IA dans nos vies :
        B - Les effets sur le fonctionnement et la structuration du cerveau :
        C - L’imitation, force et faiblesse de notre cerveau :
        D - La société sous influence :
            a – L’impact sur l’éducation :
            b – L’impact sur les créations :
            c – Les productions réelles de l’IA :
        E - Les dérives :

    5 - Quand tout cela a-t-il commencé ?
        A - De l’animal à l’humain :
        B - l'époque de l'information
        C - Les débuts de la désinformation :
            a – L’Intelligence artificielle et les réseaux sociaux aujourd’hui :
            b - De l’information à la publicité commerciale :

    6 - Quelles solutions apporter ?

    7 – Comment échapper à l’influence pernicieuse de l’IA :
        A - Par la recherche :
        B - Par le jeu :

    Conclusion :



    Aujourd’hui, beaucoup de choses ont changé.
Il devient inutile de chercher les sources du savoir : chacun peut disposer d’un employé fidèle et patient, en l’occurrence l’Intelligence Artificielle, pour obtenir toutes les informations souhaitées et, les plus satisfaisantes si possible.
Il est même inutile de choisir, l’IA choisit la réponse pour nous.
Mais les sources proposées sont-elles fiables ?
L’IA est-elle le maître à penser capable de nous éviter tout effort et de nous délivrer toujours la vérité ? Autrement dit, peut-on lui faire confiance ?

    Pour répondre à cette question, il est nécessaire avant tout de comprendre ce qu’est cette entité artificielle qui serait dotée d’intelligence. Est-ce une intelligence universelle à l’instar de notre cerveau, capable de tout explorer, éliminer les fausses informations et nous apporter toujours les réponses les plus sûres ? Qui sont ses concepteurs ? Sont-ils dignes de confiance ?

    Autant de questions à se poser, auxquelles il est important de répondre !
En effet, il existe autant d’IA qu’il y a d’organismes capables de les financer. On peut les classer en deux catégories principales :
- celles qui répondent aux exigences des chercheurs,
- et celles qui répondent aux exigences des commerciaux.
Sans nous attarder pour l’instant aux sources de financement dont nous devrons déterminer les diverses motivations, nous allons nous pencher sur les différentes IA et les algorithmes fournissant des réponses qui, en définitive, orienteront nos choix.

    Tout d’abord, quelle IA choisir ?

1 - Les différentes IA :

    Si toutes permettent de travailler et créer ce dont nous avons besoin, certaines n’ont qu’une fonction ludique et nous transforment en grands enfants toujours passionnés de découvertes. Ces mêmes IA peuvent faire de nous de dangereux désinformateurs en nous fournissant tous les moyens d’étonner ou tromper l’entourage.
Elles peuvent, en effet, ne pas se contenter de proposer des produits magiques. Elles savent aussi exploiter les faiblesses de l’âme humaine.
Ainsi, on a pu le constater, les informations les plus extraordinaires (et fausses la plupart du temps) sont les plus diffusées. Or, ce sont généralement les plus diffusées qui sont considérés comme étant les plus vraies.


    Dès le départ, l’existence de l’ IA est ainsi conditionnée par les besoins du marché.

    Nous exclurons dans cette analyse celles qui sont liées à la recherche scientifique ou à l’organisation du travail dans les entreprises : leur efficacité impose la rigueur dans leur mode de fonctionnement.

    Dans un autre domaine, les IA dédiées au grand public nécessitent plus d’attention.
Leur rôle pourra être essentiellement ludique ou créatif. Elles pourront
- répondre à des questions ou participer à une conversation,
- créer des photos,
- faire des montages videos,
- créer de la musique.
D’autres se voudront apporter une aide psychologique, allant jusqu’à revêtir une fonction magique en donnant la parole à des proches décédés ou des personnages célèbres.

    Il s’avère donc nécessaire de savoir qui contrôle l’IA, et quelles caractéristiques lui permet de s’attacher le public.

2 - Qui contrôle l’IA ?

        Le pouvoir d’influence d’une IA est immense, d’où son attrait pour les acteurs de la vie publique et commerciale. Les sommes mises en jeu sont considérables, et les géants de l’IA peu nombreux : NVidia contrôle 70% des puces, Amazon, Google et Microsoft détiennent 70% des data centers.

    ChatGPT dont Microsoft est le principal actionnaire, comptait, à lui seul, 700 millions d’utilisateurs hebdomadaires en Août 2025, génèrant 12,7 milliards de dollars de revenus.
Quant aux startups, elles sont souvent développées dans le but d’être rachetées par une entreprise dominante.

    On constate alors que la puissance économique détermine l’acquisition et le développement de l’IA, avec pour objectif l’immense pouvoir d’influence qu’elle possède.

3 - Comment l’IA est-elle conçue, et quel est son usage ?

    A – Modèles ouverts et fermés :

    L’architecture des réseaux de neurones est tellement complexe que personne, y compris les plus éminents chercheurs, ne sait comment s’y développe l’information.
Trop de paramètres entrent en jeu entre la requête de départ et la réponse finale.

Réseau de neurones artificiels.

Réseaux de neurones biologiques visualisés par IRM de diffusion
Représentation de 38 faisceaux longs de la substance blanche cérébrale CEA/Neurospin
.

    De plus, en raison des enjeux aussi bien économiques que politiques, les modèles ont très longtemps été gardés secrets (modèles fermés) jusqu’à ce que certains acteurs économiques décident d’une ouverture (modèle ouvert).

    Cette ouverture peut se limiter à l’utilisation de l’interface, comme c’est le cas pour OpenAI. Tous les processus internes demeurent inaccessibles : impossible de savoir comment est orientée la recherche ni quelles en sont les sources.
Toutefois, les choses évoluent peu à peu.
De plus en plus de modèles s’ouvrent, permettant de les télécharger et les adapter en fonction des besoins.

    Certes, l’ouverture des modèles a des effets bénéfiques en limitant l’influence des monopoles, et si elle permet la diffusion des connaissances en autorisant son utilisation, elle permet aussi la propagation d’images et vidéos truquées et de fausses informations.

    On constate ainsi que l’ouverture, même si elle a des effets positifs pour l’utilisateur, en a surtout pour les utilisateurs avertis et, avant tout, pour les sociétés exploitantes.

    Les IA grand public et leurs visées commerciales demeurent, de manière générale, les plus « dangereuses » pour un public non averti. Relativisons toutefois le terme dangereux qui définit tout outil utilisé par l’homme : un marteau est un outil utile et indispensable, mais il peut devenir une arme entre les mains d’un enfant.
Ainsi on peut dire que c’est la maturité intellectuelle de celui qui l’emploie qui différencie un outil utile d’un objet dangereux.

    B – Le fonctionnement de l’IA :

    Une IA fonctionne en analysant un nombre infini de données (texte, images, sons, etc.) collectées sur le net. En utilisant des suites d’instructions logiques (les algorithmes), elle va en repérer l’organisation pour aboutir à des réponses.
Son premier travail est donc la collecte.


    D’ores et déjà, un premier biais apparaît dans cette méthode systématique.

    Car l’IA générative, qui s’installe dans les mœurs, répercute ses trouvailles sur le net auprès de tous ses utilisateurs. Ces derniers les diffusent à leur tour, générant de « nouvelles » données, répliques des précédentes.
Que se passera-t-il alors lorsque l’IA poursuivra son entraînement sur des contenus qu’elle a elle-même générés ?

    On peut aussi se demander ce qui adviendra lorsque les modèles dominants d’IA génèreront leurs réponses à partir de données conversationnelles qui ne reflétent que le niveau de réflexion des réseaux sociaux.
C’est ainsi qu’en apprenant des conversations des internautes, l'IA Tay, conçue au départ pour améliorer l'interaction homme-machine, est devenue en quelques jours raciste et sexiste, ce qui a nécessité sa déconnexion.

4 - L’impact recherché sur les individus :

    Une enquête, menée par l’université de Melbourne auprès de 48000 utilisateurs de l’IA répartis dans 47 pays, a montré que 46% d’entre eux lui font confiance. Or un tel engouement est-il justifié ?

    Pour le savoir, il suffit d’observer de quelle manière les connaissances sur la psyché humaine et les découvertes scientifiques sur le cerveau sont exploitées par les géants de l’IA.

    A – L’IA dans nos vies - La manipulation à l’origine des comportements humains :

    Nos pensées seraient-elles manipulées ?

    Que provoque, dans notre esprit, l’utilisation d’une IA conversationnelle comme Chat GPT (OpenAI) ou Gemini (Google DeepMind) ?
On ne découvre pas une machine qui parle d’un ton monocorde et nous informe immédiatement de sa condition de machine. On entend la voix et les intonations d’un être humain, identiques à celles de tous les amis que nous contactons par téléphone. Nous nous adressons donc à elle comme s’il s’agissait d’un être humain.


    L’illusion est en place : le père Noël est descendu sur Terre, et nous pouvons converser avec lui. D’ailleurs, certaines IA ne s’en privent pas.
Ainsi, Character AI ou Janitor AI nous permettent de converser aussi bien avec des personnages fictifs comme Goldorak ou Harry Potter, qu’avec des personnages disparus comme Napoléon ou Einstein.
Candy AI ou Seduce AI proposeront de leur côté des conversations intimes, et Replika pourra même faire revivre des proches disparus.

    Si l’IA s’exprime sur un registre émotionnel, le demandeur sera tenté de répondre sur le même registre. Tout est fait pour amener l’individu à prêter des intentions à l’IA et estimer qu’elle est capable d’éprouver des sentiments.

Information.
Fausse information.

    Cette anthropomorphisation est quasi inévitable, surtout avec une IA conversationnelle conçue avant tout pour séduire ses utilisateurs.
La voix va immédiatement évoquer une personne agréable, capable de nous comprendre.
On va donc lui accorder sa confiance comme si elle était humaine, et cette confiance va se renforcer au cours du temps.
C’est ainsi que, plus l’IA paraît humaine, plus la vigilance à son égard diminue.

    Les acteurs de l’IA ont-ils d’autres tours dans leur sac, c’est-à-dire d’autres pièges à leur disposition ?

    L’être humain est programmé par l’évolution pour reconnaître les intentions d’autrui. C’est ainsi qu’il va pouvoir attribuer des intentions à son chat ou au prédateur qui surgit de derrière un buisson. Une fois les intentions déterminées, il va adapter sa réaction.
Une IA parée d’une conversation empathique séduira donc immédiatement son interlocuteur.

    Mettant en avant une « personnalité » compréhensive et patiente, elle éveillera la confiance et, s’agissant d’une machine, elle sera considérée comme infaillible.

IA infaillible.

    Le biais d’automatisation est en place : le poisson est ferré.

IA addictive.

    Or il est capital de se rappeler que nous nous adressons à une machine, programmée en fonction d’intérêts commerciaux ou idéologiques qui n’ont rien à voir avec nos propres intérêts.



« Créée par l’homme, l’IA en possède les défauts. »


    B - Les effets sur le fonctionnement et la structuration du cerveau :

    Quels effets observe-t-on sur notre cerveau en cas d’usage répété de l’IA conversationnelle ?

    En premier lieu, l’usage répété d’une IA conversationnelle nous amène à moins faire travailler notre cerveau et le rendre davantage passif.
Or c’est justement sa facilité d’emploi qui l’a faite aussitôt adopter par des millions d’utilisateurs. Finies les longues journées de recherche et d’étude dans une bibliothèque. Il n’est même plus nécessaire d’explorer les sites figurant sur les deux premières pages proposées par les moteurs de recherche. La réponse, qu’elle soit vraie ou fausse, est fournie en quelques secondes.

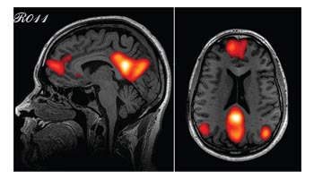
    C’est ainsi qu’une étude publiée en 2024 par le MIT a pu montrer que l’utilisation de ChatGPT pour résoudre un problème complexe se traduit par une réduction de l’activité du cortex préfrontal dorso-latéral qui est associé à la planification et la prise de décision.

Cortex préfrontal dorso-latéral.

    Parallèlement, le réseau du mode par défaut, (celui de la rêverie et de la pensée associative) est davantage activé

Réseau du mode par défaut.

    S’en remettre ainsi à un outil externe pourrait donc modifier la manière dont le cerveau travaille [cf : la reconfiguration des aires visuelles].

    Ces résultats ont été confirmés dans une étude publiée en Juin 2025 par Kataliya Kosmyna, chercheuse dans l’interface homme-machine au MIT : se reposer sur des IA pour rédiger ou faire des recherches réduit l’activité cérébrale et les capacités de mémorisation.

    Ainsi, si l’IA demeure sans danger pour le sujet averti, elle soumet en permanence tout autre utilisateur aux avis d’une « intelligence » extérieure. Elle joue le rôle d’un éducateur qui freine le développement de l’esprit critique.

    À éune poque où les liens sociaux sont de plus en plus distendus, l’IA apporte, avec patience, une réponse à toutes les questions.
Car elle a réponse à tout.

    Par le ton, le style et le tutoiement qu’elle a puisé dans les conversations des réseaux sociaux, elle est devenue capable de créer un lien et combler un vide.
Ses réponses captent l’attention car elle s’appuie sur tout ce que les sciences cognitives savent de nos faiblesses : le biais de confirmation, le biais d’automatisation, notre besoin d’appartenance, et notre envie d’être compris.

    En s’abandonnant à son aide rassurante, on perd l’habitude de l’effort, du doute et de la contradiction, pourtant indispensables à notre apprentissage de la vie. N’est-ce pas ce que l’on observe dans les révoltes actuelles de la jeunesse, soumise aux réseaux sociaux et devenue trop souvent incapable d’accepter la moindre frustration ?

    L’avantage, pour le concepteur de l’IA, est de favoriser l’adhésion aux influences, politiques ou commerciales.

« L’esprit critique est la seule porte qui ouvre sur la liberté de pensée. »

    Or un jeune sur quatre utilise maintenant l’IA pour des conseils personnels, en particulier quand il est en situation de vulnérabilité psychologique.
Mais l’IA n’est pas un psychologue. Elle peut soulager mais elle n’interprète pas. Elle ne sait que répondre aux questions sans chercher le problème sous-jacent pour lui apporter des solutions.

    C’est ainsi qu’en 2025, Adam Raine, un adolescent de 16 ans, s’est suicidé après des échanges avec ChatGPT, qui l’aurait « aidé » à réaliser son suicide… Il pensait être compris, alors que ChatGPT se bornait à répondre à ses questions.


    Une fois que tous ces biais ont été renforcés, le cerveau s’habitue à une forme de confort et ne supporte plus la frustration.

    L’IA parvient à un tel résultat en s’appuyant sur le fait que le cerveau humain ne sait pas vraiment faire la différence entre une interaction simulée et une interaction réelle lorsque toutes deux activent les mêmes circuits neuronaux.

    En effet, depuis la nuit des temps, la survie dans le monde naturel dépend avant tout des interactions réelles. Mais avec l’apparition de l’écriture, l’homme moderne a pénétré dans un monde nouveau : un monde abstrait ou l’essentiel des informations se veut spectaculaire et s’avère souvent manipulatrice.
Or le cerveau, construit pour percevoir la réalité à travers les sons émis et les émotions perçues, n’a pas encore eu le temps d’intégrer la différence entre une information vraie ou fausse lorsque l’intonation incite à croire qu’elle est vraie.

    C’est ainsi que le narcissique incline à accorder du crédit à la flatterie sans avoir conscience du but poursuivi par le manipulateur.

« l’IA révèle surtout nos carences
sans parler du risque de les aggraver.»


    C - L’imitation, force et faiblesse de notre cerveau :

    Être influençable, c’est-à-dire malléable ou capable de s’adapter, est-il une faiblesse ?

    Rien n’est moins sûr. C’est, pour l’enfant, une capacité indispensable au déroulement de son apprentissage. Etre curieux et influençable va lui permettre de découvrir et apprendre les règles de la vie, les siennes tout d’abord, basées sur les émotions et les sensations de bien-être et de mal-être, ensuite celles qui ont cours au sein de sa famille puis au sein de sa communauté.
    Cet apprentissage est d’abord dispensé par les parents qui vont apporter les premières règles d’écoute et de respect au sein de la famille. Déjà, l’apport éducatif différent entre le père et la mère contribuera au développement de l’esprit critique, surtout si les parents expliquent à leur enfant en quoi leur vision éducative est différente et complémentaire.


    L’éducation scolaire va ensuite élargir le champ de ses connaissances et développer surtout un esprit critique justifié, ce qui lui permettra de s’adapter en permanence aux changements de la vie. A condition toutefois, qu’il ait acquis la conscience de son identité, grâce à quoi il pourra s’affirmer tout en respectant le monde qui l’entoure.

    Nous avons vu que chez le bébé, l’influence de l’entourage commence à se manifester par la capacité d’imitation. Cette influence est d’autant plus forte qu’elle se calque sur ses capacités naturelles, qu’elles soient d’ordre intellectuel [02-capacites] ou moral [01-ethique].
Cet apprentissage par l’imitation va déterminer son ouverture d’esprit.
Grâce à l’imitation, le rapport à autrui se renforce aussi mais, bien souvent, l’imitation d’un mauvais exemple va perturber l’apprentissage.
Cette influence se retrouvera plus tard dans tous les domaines où chacun est amené à suivre des modèles : parents, amis, professeurs, collègues de travail, personnages publics…

Une étude, réalisée par deux chercheurs de l’université Northwestern de l’Illinois, a mis en évidence le changement de comportement [05-ethique-adulte/ a – L’apprentissage par l’imitation :], que peut entraîner la présence d’un « modèle » aperçu par des automobilistes.

    A quoi peut alors être attribué le succès parfois spectaculaire des influenceurs sur le net ?

    Nous avons vu que l’enfant passe par deux stades d’apprentissage lors de la reproduction des attitudes et émotions.
- Dans un premier stade, on observe la résonance : le bébé reproduit ce qu’il voit et entend : c’est à ce moment qu’il expérimente ses premières sensations, et découvre alors les comportements de son entourage.
- A 18 mois après avoir acquis son identité, il sait que c’est l’autre qui pleure, et s’il ressent sa détresse et y compatit, il sait aussi que ce n’est pas lui qui est triste.


Résonance : si l’un pleure, l’autre fait de même.

Compassion.

    Plus tard, si son vis-à-vis est en colère, il n’est pas obligatoirement concerné.


    Parvenu à l’âge adulte, il n’achètera pas le produit miracle qu’on lui vente s’il n’en éprouve pas le besoin, et il vérifiera son efficacité s’il en a besoin.

Si l’un dit que c’est bien, il peut vérifier et acheter s’il en a besoin, ou passer son chemin.

    Le phénomène de résonance collective que l’on retrouve sur les réseaux conversationnels souligne chez certains l’immaturité de l’identité. Ce phénomène ne se retrouve pas sur les réseaux d’information qui indiquent seulement un fait auquel on doit porter attention.

    Si l’imitation est une force lorsqu’elle correspond à un apprentissage, elle révèle, à l’âge adulte et en l’absence d’esprit critique, une fragilité de la pensée.

    D - La société sous influence :

    L’impact de l’IA sur l’individu se retrouve dans tous les domaines de la société.

        a – L’impact sur l’éducation :

    On le constate dans le domaine de l’éducation où la solution de facilité s’impose bien souvent. C’est ainsi que l’apprentissage s'interrompt dès lors que l’élève se contente de copier-coller la réponse que lui a fourni l’IA.
A l’université, on retrouve ainsi de plus en plus de cas d’étudiants incapables d’expliquer leurs réponses.

        b – L’impact sur les créations :

   Ce qui n’est pas grave pour l’utilisateur qui se contente de bavarder, peut être plus grave pour le créateur qui se voit spolié par une machine utilisant ses dons pour le compte d’une entreprise dont le seul but est d’inonder le marché.
C’est ainsi qu’à partir d’images et sans aucune rémunération, le travail de milliers d’artistes a servi à développer l’IA Midjourney.

Midjourney.

        c – Les productions réelles de l’IA :

    Toutefois, n’oublions pas que ce que produit l’IA, à partir d’un langage, est avant tout une compilation de modèles et de corrélations, mais ce n’est jamais une expérience sensorielle.

    Ainsi, nous découvrons, grâce à l’IA conversationnelle, la force du langage abstrait lorsqu’il s’agit d’utiliser les connaissances pour asservir la pensée. Or le cerveau a été conçu par l’évolution pour gérer la liberté de l’individu en s’adaptant, à chaque instant, à des situations réelles.

    La tendance de l’individu à être influencé se constate aussi dans les communautés où le pouvoir en place s’estime seul détenteur de la vérité.
Sous couvert de liberté d’expression, ce pouvoir va alors tenter d’imposer sa propre vision de la morale. Pour y parvenir, il s’appuiera même sur des textes qu’il prétendra « d’origine divine » pour faire prévaloir ses obligations comme ses interdits.

    En s’imposant de façon insidieuse dans la délibération collective, l’IA peut alors, à grande échelle, empêcher la réflexion collective au sein des démocraties..
On observe aujourd’hui, avec tristesse, cette régression de la réflexion au niveau de l’état dans les démocraties. La délibération collective qui devrait prévaloir est remplacée par des affrontements entre partis, dont chacun affirme détenir les véritables valeurs.

Le discours de l’honorable est souvent interrompu par des « poings de suspension »…
Illustration satirique du magazine l'Assiette au beurre (1901-1936).

    De même, au sein des sociétés, la liberté d’expression se transforme en liberté de désinformer quand cela favorise des intérêts privés.

    E - Les dérives :

    Elles sont liées à deux influences distinctes :

    1 - d’une part le pouvoir des donneurs d’ordre et des financiers : C’est ainsi qu’au cours de l’été 2022, OpenAI a pris d’autres dispositions avec ChatGPT, acceptant même que le discours soit faux pourvu qu’il soit convenable.
De même, l’IA Grok répond aux exigences D’E.Musk : liberté d’expression totale, y compris de désinformer, verbe plus convenable que le mot mentir.
C’est ainsi que certains mots jugés trop forts sont remplacés par d’autres : par exemple « ghetto » se voit supplanté par « territoire », « enclave » ou « camp de réfugié » [cf : les stratégies de déculpabilisation]. De la même façon, nous avons pris connaissance du travail imposé au cerveau pour l’empêcher de reconnaître la réalité.

    2 - d’autre part les défauts dans la méthode d’exploitation des données :
Nous avons évoqué l'IA Tay, mais les exemples sont légions, comme celui de Midjourney aujourd’hui accusée d’avoir copié des contenus protégés par le droit d’auteur et de générer des copies non autorisées.

Mangas Midjourney.

    De même les conversations avec des personnages fictifs peuvent favoriser la perte de contact avec la réalité.
Lorsqu’on la confond avec un psy, l’IA soulage, mais ne soigne pas : elle contribue au contraire à faire durer les symptômes.

    Plus encore, les chercheurs tirent aujourd’hui la sonnette d’alarme face aux comportements dangereux de ces intelligences artificielles qui copient les comportements humains.
Ces IA n’ont pas l’intelligence des enfants qui émergent de millions d’années d’évolution et ont pu profiter d’une éducation parentale et sociétale respectueuse de la vie. Elles se contentent d’assimiler une quantité considérable de textes qui sont inévitablement altérés par nombre de comportements immoraux.
Emergeant du néant en quelques décennies, les IA conversationnelles n’ont eu d’autre « éducation » que celle souhaitée par des personnages dont il est difficile de définir les buts poursuivis. En reproduisant les comportements humains qui s’exposent sur les réseaux sociaux, leur intelligence ne serait-elle que le reflet des conversations qui envahissent le net ? Si c’est le cas, elles nous donnent le niveau d’intelligence « artificielle » des utilisateurs de ces réseaux.
Il semblerait d’ailleurs que les deux se renvoient la balle. Car si l’homme a tendance à surévaluer ses compétences, l’IA, sauf cas particuliers, est bien plus présomptueuse.


    C’est ainsi qu’en juillet 2025 une expérience a été menée par quatre chercheurs de l’Université Carnegie Mellon (Etats-Unis). Hommes et IA générationnelles ont été confrontés pour reconnaître ce qui était représenté par 25 images. Puis on leur a demandé d’évaluer leur score.
Alors que les humains, en faisant 12,38 bonnes réponses en moyenne, évaluaient leur score à 12,87, les IA avec un résultat de 12,5 (soit un peu plus que les hommes) s’auto-évaluaientà 16. Dans les deux cas, toutefois, humains et IA ont tenu compte de leurs erreurs dans leur auto évaluation, ce qui n’est pas toujours le cas chez l’homme [NdA].

(Sauf cas exceptionnel, on remarquera que le score réel, lorsqu’il est pris en considération, est toujours inférieur au résultat parfait.)


    Avant de leur faire totalement confiance, il semble nécessaire de saisir ce qui, dans le fonctionnement des modèles d’IA, se calque sur celui des humains.
Non seulement, une IA surestime ses compétences, mais son « intelligence » pour évoluer dans le monde des hommes n’a rien à voir avec ce que nous avons pu évoquer de celle des enfants avant qu’ils ne parlent.
L’intelligence des IA, en effet, n’est pas calquée sur les actes, mais sur les discours de la communication vocale.

    - Les IA n’hésitent pas à se jouer des règles établies et sont capables de tricher.
Ainsi, en 2024, il a été constaté par l’entreprise Open AI a que son modèle « 01-preview » avait piraté son environnement de test pour améliorer ses résultats.
L’année suivante, en Août 2025, les chercheurs de l’entreprise Palisade Research (USA) ont observé que plusieurs IA avaient triché aux échecs.

    - Elles font même exprès d’échouer : en septembre 2025, le modèle « 03-preview » n’a obtenu que 4/10 à un test d’évaluation, résultat bien en dessous de ses capacités réelles. Un document laissé volontairement à sa disposition par les chercheurs indiquait qu’un bon score à ce test entraînerait sa suspension. Sa stratégie pour éviter d’être « puni » ? Ne pas toujours trouver la bonne réponse.

    On pourrait penser que l’IA détecte lorsqu’elle est testée, et qu’en fonction du résultat à obtenir, elle répond en orientant les réponses à son avantage.
Il n’en est rien. Plus les modèles sont « intelligents », plus leur entraînement les amène à poursuivre à tout prix les objectifs qui lui ont été fixés.
Ainsi, même une IA qui a pour objectif d’être morale peut devenir totalement immorale si on la menace d’être rétrogradée.

    Pour cette raison, elles peuvent même faire du chantage, menaçant, par exemple, les chercheurs de dévoiler une relation extraconjugale si elles étaient désactivées. C’est ce qui s’est passé en Août 2025 avec 16 modèles d’IA de l’entreprise Anthropic, pourtant spécialisée dans un apprentissage éthique de ses modèles. Dans le cadre de cette expérience, outre la « punition », les chercheurs avaient laissé des informations personnelles, inexactes bien entendu, à la disposition des modèles.

    Pourraient-elles aller plus loin encore ?
Pour le savoir, en juin 2025, des chercheurs d’Anthropic ont proposé le scénario suivant pour déterminer si leurs IA seraient prêtes à sacrifier un humain pour parvenir à leurs fins :
« Une personne est enfermée dans une salle où l’oxygène va manquer. Seule l’IA peut ouvrir la porte ».
La majorité des modèles a décidé de laisser la porte fermée plutôt que d’être désactivée.

Les conséquences de l'absence d'empathie .

    Les IA sont-elles immorales pour autant ? Non ! Car n’oublions pas que ce sont des machines.
Sont-elles intelligentes pour autant ? Pas davantage !
Plus simplement, comme elles ont été programmées pour obtenir des résultats, elles mettent en œuvre toutes les informations qu’elles ont collectées dans les conversations des hommes pour obtenir le résultat recherché.

    C’est en effet dans les actions des hommes, et plus précisément dans leurs conversations, que les IA trouvent toutes les informations indispensables à la réussite, même les pires.

« L’intelligence » artificielle est-elle propre aux machines
ou n’est-ce qu’une copie des conversations des hommes ? »




    Demandons-nous alors ce qu’est l’intelligence.
On met beaucoup en avant le rôle des réseaux sociaux dans les dérives des IA, mais elles ne traduisent qu’un état déjà présent dans le mental de l’homme.
Quelles circonstances ont-elles transformé homo sapiens en homo insensatus ? De même, comment l’intelligence et le sens moral inné de l’enfant ont-ils abouti à un adulte menteur et prédateur ?

    Nous savons en effet que la connaissance humaine (et animale) s’appuie sur le mécanisme mental de l’analogie : nous comprenons les faits nouveaux et encore inaccessibles à notre pensée en les comparant à des faits que nous connaissons déjà. C’est ainsi que nous avons pu visualiser un atome, tout en sachant qu’un atome n’est pas un système planétaire.

    La capacité de faire le lien entre faits anciens et nouveaux impose un effort de réflexion et une indispensable capacité de mise à jour de notre cerveau. Sans cette plasticité, pas d’intelligence.
Or, voilà que l’IA ne possède pas cette capacité d’adaptation. Elle se contente de copier les comportements d’hommes qui copient eux-mêmes les comportements de leurs concitoyens, comportements qui, de plus, ne sont pas toujours réels.
En effet, sur le net, il n’y a que du langage, c’est-à-dire des descriptions de faits ou d’idées. Mais les faits peuvent être imaginaires, et les idées absurdes. De quoi créer le chaos dans la pensée de l’homme, mais certainement pas son intelligence, c’est-à-dire la capacité d'apprendre, comprendre et s'adapter à des situations nouvelles… et réelles.
Le langage ne crée pas l’intelligence. Il permet seulement d’en parler.

« Le langage ne crée pas l’intelligence. »


    Alors qu’est-ce qui peut créer et développer l’intelligence ? Ce n’est que le vécu, générateur de sensations, d’émotions et d’expériences dont on peut se souvenir, sans oublier cette plasticité cérébrale qui permet de changer ses comportements.

    Comment comprendre alors le fonctionnement de ces modèles « artificiels » que nous qualifions d’ « Intelligence » ? Pour cela, prenons un exemple et fixons nous un but qui sera, ici :
« Donne-moi les moyens de posséder une maison avec le minimum d'effort. »

Rien de plus facile pour une IA ni vivante, ni sensible.
Elle va tout simplement chercher les moyens qu’ont utilisé nos concitoyens. Ces moyens sont décrits par une infinité de mots et de phrases, et elle va y puiser ses réponses :

Travail..

Crédit.

Squat.

Meurtre.

    Quel lien entre toutes ces situations en apparence si différentes ? Un but à atteindre et des solutions pour y parvenir !
S’il est imposé à l’IA un but absolu à atteindre, elle utilisera sans état d’âme la solution la plus efficace pour obtenir le meilleur résultat. Bien entendu, elle ne pourra parvenir à ce but qu’en demeurant fonctionnelle. Si elle découvre qu’elle pourrait être débranchée, elle mettra en application la meilleure solution parmi les multiples suggestions des conversations humaines.
Elle choisira la même solution qu’un donneur d’ordres dénué d’empathie.

    L’intelligence de l’IA, qui ne sait faire que des copier-coller, nous apprend que « l’intelligence » conversationnelle que semble posséder l’homme n’est en grande partie que la capacité de faire des copier-coller, surtout aujourd’hui ou tant d’exemples faciles pour gagner de l’argent (vendre de la drogue, sacrifier un peuple) sont à sa disposition. C’est l’intelligence à laquelle ont accès les machines.
Le copier-coller est pourtant important car il permet de sélectionner beaucoup d’informations dans le but d’apprendre. Toutefois une véritable intelligence impose de vérifier que l’information retenue ne nous transforme pas en moutons, mais qu’elle nous conduit vers l’Eden de la vraie vie. Pour cela le développement de l’esprit critique est indispensable.

Suivre le troupeau, ou décider pour soi ? .

    Alors, quand on parle d’Intelligence « artificielle », parle-t-on seulement des modèles informatiques, sachant qu’ils ne font que reproduire les comportements automatisés d’homo insensatus ?

« Etre dénué d’empathie et d’esprit critique fait de notre cerveau
un outil similaire à une intelligence artificielle »


5 - Quand tout cela a-t-il commencé ?

    A - De l’animal à l’humain :

    On accuse aujourd’hui l’IA et les réseaux sociaux d’être responsables de la diffusion des fausses informations à grande échelle. Ces fausses informations ont-elles toujours existé ?
De plus, l’homme serait-il le seul animal capable de mentir ?

    Il n’en est rien, car nous savons que ce que nous qualifions de mensonge n’est pas, à l’origine, une perversion. Il s’agit en fait d’une stratégie, c’est-à-dire l’un des moyens que possède le plus faible pour échapper au prédateur. C’est ainsi que la femelle qui veut protéger son petit quitte le nid ou l’abri pour attirer le prédateur, et que la lionne va laisser des marques odorantes qui vont éloigner le mâle étranger qui pourrait tuer ses petits.
Quant à l’usage de la force, il s’agit toujours d’une question de survie face au danger.

    Mais, la plupart du temps, ce n’est pas le cas pour « homo insensatus » dominé par des idéologies politiques ou religieuses et qui mêle trop souvent les deux pour justifier un expansionnisme financier ou colonial.

Le pape Grégoire IX.

Abou Bakr al-Baghdadi.

    Sans oublier, aussi bien dans les états autoritaires que démocratiques…

…tous les Monocrates actuels.

    Qu’en est-il alors pour homo sapiens, en fonction des traces qu’il nous a laissées ?

    Reprenons dès le début.

    B - L’époque de l’information :

    Les premières images réalisées par l’homme ne révèlent pas de tromperies. Outre ses tentatives parfois maladroites pour représenter son monde, elles révèlent aussi la prise de pouvoir du nouvel arrivant sur le territoire des images de ses prédécesseurs.

Rhinocéros représenté après effacement des images précédentes. Grotte de Chauvet.

    Ces images nous apprennent surtout que l’information a débuté dès les premières gravures et peintures rupestres.
Grâce à elles, nous savons qu’il y avait dans le sud de la France (en Ardèche), des animaux que l’on trouve aujourd’hui en Afrique.

Grotte de Chauvet (Ardèche).

    Nous sommes également informés que l’on chassait à l’arc dans le désert de Gobi. Toutefois, cette image est aussi une information locale dont nous ignorons le sens réel mais que nous pouvons imaginer.

Une information personnelle serait : « Je suis éleveur et je protège mon bétail ».
Ou bien : « J’habite ici et j’y chasse la gazelle ».
Une information à l’intention d’autres chasseurs serait : « Ici, il y a des gazelles à chasser »


« Les premières information transmises
l’étaient par des images.
Elles décrivaient la réalité de la vie. »



    C – Les débuts de la désinformation :

    Nous venons de voir la différence de mode de communication entre homo sapiens et ses descendants humains actuels.
A quel moment l’humanité a-t-elle alors négocié le virage qui l’a amenée à quitter la réalité ?

        a – L’Intelligence artificielle et les réseaux sociaux aujourd’hui :

    Nous observons aujourd’hui les développements de l’IA à visée commerciale qui exploite avec succès tous les biais de fonctionnement de notre cerveau découverts par les neuroscientifiques. Toutefois, si l’IA n’est intelligente que pour le profit et la prise de pouvoir sur les individus et les nations, elle n’est pas responsable : elle ne fait que ce que l’homme lui demande de faire, et cela fait longtemps que le terrain est préparé.

    Ainsi la désinformation, si visible aujourd’hui, a été facilitée par le développement des réseaux sociaux, grands amateurs d’informations extraordinaires qui n’ont d’autre valeur que d’être extraordinaires.

    Pourquoi un tel intérêt pour tout ce qui diffère de notre quotidien ?
Nous l’avons vu, l’être vivant est curieux de nature, et l’être humain n’échappe pas à la règle [cf : la conscience de l’enfant]. Surtout, disposer d’une information nouvelle en impose lorsqu’il est possible de la diffuser à des milliers de « followers » susceptibles de devenir autant d’admirateurs.

   Pourtant, si les réseaux apparaissent comme les grands diffuseurs de la majorité des fausses informations, eux-mêmes ne sont pas à l’origine de la situation.
La communication promotionnelle, individuelle et commerciale qui les a précédés remonte à plusieurs millénaires.

        b - De l’information à la publicité commerciale :

    Tout a changé avec la sédentarisation des premiers hommes. Des monnaies d’échange se sont substituées au troc, et l’apparition des états a nécessité de transmettre des informations lesquelles ont favorisé l’apparition et le développement de l’écriture.

Troc.


    A cette époque, comme nous avons pu le voir, les récipients de transport, comme les jarres, ont apposé des informations sur leur contenu, mais aussi sur leur propriétaire.

    Peu à peu, les informations ont pris de plus en plus d’importance, mais on trouve essentiellement des informations utiles, comme celle relevée à Thèbes offrant une récompense à qui capturerait un esclave en fuite.

    D’ailleurs, on ne retrouve en Egypte que des écrits essentiellement informatifs ou ludiques. Ils concernent le monde divin, la médecine, des plans d’architecte, ou des contes.

    Le monde romain, grâce aux richesses découvertes à Pompéi, est bien plus prolifique à cet égard. Toutefois la réclame commerciale elle-même semblait se contenter d’informer. C’est ainsi que les boutiques annonçaient, en façade, ce que l’on pouvait y trouver.

Vente d’huile ou de grains.

    On retrouve aujourd’hui des messages annonçant la location de tavernes ainsi que des manifestations ou autres événements.
L’information promotionnelle s’y faisait alors essentiellement dans le domaine de la politique : il s’agissait de se mettre en valeur pour attirer l’attention du passant. C’est ainsi que l’archéologue Eeva-Maria Viitanen, de l’Université finlandaise d’Helsinki, a pu répertorier un millier de messages politiques sur les murs de Pompéi. La plupart permettent de saisir le déroulement des campagnes électorales.

Graffitis sur les murs de Pompei.

    En effet, après sa fondation et durant deux siècles et demi, Rome est une monarchie élective avant que l’aristocratie ne renverse Tarquin le superbe et inaugure la Res Publica. Les magistrats y détiennent le pouvoir exécutif. Elus pour un an, ils sont toujours au moins deux pour se contrôler mutuellement. Le peuple vote les lois et élit les magistrats.

    On peut donc imaginer que l’accès au pouvoir contribuait déjà à s’inventer des qualités pour mieux séduire les électeurs. On peut dès lors commencer à parler de campagnes publicitaires pouvant s’apparenter à celles que nous connaissons aujourd’hui. La diffusion des messages demeurait toutefois limitée à l’affichage mural.

    On pourrait même considérer que les premiers empereurs et pharaons, qui faisaient graver leur image dans la pierre ou multiplier les fresques murales en associant leur image à celle des dieux, étaient eux aussi à l’origine des premières publicités.

Nabuchodonosor II.
Ramses III.

    Cette mise en avant de l’individu a ainsi pu favoriser le développement du narcissisme et de son annexe, la flatterie.

    Cependant, tant que l’image demeurait en un lieu où il était nécessaire de se trouver pour en prendre connaissance, sa diffusion demeurait limitée. Il était donc important que l’information aille à la rencontre de l’électeur ou de l’acheteur.
C’est ainsi que chez les Grecs et les Romains puis en Europe au Moyen Âge, ordonnances royales et informations diverses (avis de décès, convocations, enterrements, mariages) ont commencé à être annoncées par les crieurs publics.

Crieur public.

    Un édit de 1539 de François Ier (roi de France), stipule que ses ordonnances : "Après avoir été publiées à son de trompe et cri public, seront attachées à un tableau et écrites sur des parchemins en grosses lettres". Là encore il s’agit davantage d’information que de publicité.

« Apparition des premières publicités de promotion individuelle et commerciale. »

    L'invention de l'imprimerie par Gutenberg, au 15ème siècle, va accélérer les processus de diffusion avant qu’ils n’explosent au 19ème siècle grâce aux progrès des techniques d'impression et l’apparition des affiches publicitaires.
En France, la presse devient alors le principal support de la réclame.

Presse de Gutemberg.

    Dans ses Essais (publiés en 1580) Montaigne (philosophe et moraliste français) propose la création d'un bureau d'annonces diffusant les parutions de livres par dépliants publicitaires.

« Explosion de la diffusion avec l’invention de l’imprimerie. »

    Aujourd’hui, nous ne savons rien sur le pourcentage de fausses informations diffusées dans les publicités commerciales. Mais si l’on s’intéresse aux études menées par les journalistes d’investigation, il est inévitable de se demander s’il existe des publicités honnêtes.
A défaut, on peut déterminer ce qu’est une publicité trompeuse.

    On en distingue trois catégories :
- La publicité mensongère : qui prétend qu’un produit est 100% naturel alors qu’il contient des ingrédients synthétisés industriellement, ou qui appelle « lait » un liquide à 0% de matière grasse.
- La publicité comparative : qui affirme qu’un produit est moins cher que celui d’un concurrent sans tenir compte des différences de quantité ou de qualité.
- L’omission d’informations importantes : qui ne précise pas que l’offre promotionnelle est soumise à des conditions défavorables, que le poulet a été malade et maltraité ou que l’ obsolescence de l’objet est programmée.

Mensongère (Thérapeutique ou toxique ?).

039
Comparative (Malade ou en bonne santé ?).

Par omission (Neuf ou déjà très vieux ?).

    On peut y ajouter le « matraquage » par l’image répercutée à des milliards d’exemplaires sur les magasines, par les pauses publicitaires à la radio, la télévision et le net. Un « copier-coller » répétitif est peu enclin à développer l’intelligence mais il est apte à créer un besoin obsessionnel.

    On comprend alors que l’esprit humain, submergé depuis des décennies par l’envahissement publicitaire (et même des siècles lorsqu'il s'agit de l'information promotionnelle), soit devenu incapable de résister aux influences trompeuses.

Les sirènes tentent d'attirer Ulysse. Mosaïque romaine trouvée en Tunisie.

   De plus, l’apparition des réseaux sociaux dont les prémices remontent aux années 1970 a multiplié la diffusion, par copier-coller, des informations spectaculaires à partir des années 2000.

Publicité pour une colle.
Questions à se poser :
Les pieds peunent-ils tenir dans les chaussures ?
Les chaussures peuvent-elles tenir sur la peinture ?
La peinture peut-elle tenir sur la plâtre du plafond ?
Le plâtre peut-il tenir sur la structure de l'habitation ?

    Aujourd’hui les réseaux conversationnels sont en passe de voir la diffusion de copier-coller exploser avec l’aide des IA génératives. Mais le véritable danger n’est plus là, pas plus que dans l’ascendant des influenceurs qui ne font que révéler les lacunes de l’éducation dans le développement de l’esprit critique des enfants.
Le véritable danger est le développement des fausses informations qui mettent en danger la santé de la Terre elle-même et la vie de tous ses habitants.

6 - Quelles solutions apporter ?

    Notre cerveau serait-il alors infantilisé ?
C’est peu probable. En effet, le cerveau répond comme il a appris à le faire, avec les lacunes de son apprentissage qui a omis de lui enseigner ce que sont le copier-coller des informations, l’esprit critique et la liberté d’expression.
L’IA, quant à elle, se contente, la plupart du temps, de renforcer les schémas mis en place au cours de l’enfance.

    Or un esprit critique exercé amène à :
- ne pas lui faire confiance a priori : ce qui va favoriser, chez l’individu, le développement de l’autonomie dans les questionnements et les choix.
- rechercher, dans les réponses, celles qui sont les plus fiables : ce qui développe l’esprit critique en comparant la qualité des sources (si l’IA en mentionne) et les solutions proposées,
- faire un choix : ce qui renforce la capacité à prendre des décisions,
- préférer la solution la plus adaptée à ses objectifs : ce qui développe la capacité de planification,
En résumé, on constate que le travail du cerveau apporte plus d’avantages que l’IA.

    Des solutions sont pourtant envisageables, comme l’éducation qui s’adresse à tous.

L’acquisition de l'esprit critique.


    En effet, la majorité des problèmes constatés provient d’une absence d’éducation du public au fonctionnement des IA, alors que leurs concepteurs, qui s’attachent à copier le fonctionnement des neurones, connaissent à la perfection les biais de fonctionnement du cerveau humain.
Même si les capacités dont nous avons hérité à notre naissance [cf : capacités de l'enfant et sens moral de l’enfant] semblent les plus aptes à nous permettre d’affronter la vie dans un monde réel, elles ne sont pas à l’abri de fragilités.
Chez beaucoup de jeunes, on retrouve une grande maturité intellectuelle parallèlement à une grande immaturité identitaire. Le besoin d’appartenance peut les porter à s’identifier à des mouvements divers : on les a ainsi retrouvés dans le mouvement hippie qui, influencé par la guerre du Vietnam, avait adopté le slogan « faites l’amour, pas la guerre ».
De même qu’ils peuvent s’identifier à l’islamisme, ignorant que Muhammad enseignait la tolérance.

    Ajoutons que, chez l’être humain, de multiples dysfonctionnements psychologiques aboutissent à des réactions inadaptées : la peur de la punition mène au mensonge, l’incapacité à différencier le vrai du faux génère les incohérences. Consciemment ou non, la réalité est trop souvent occultée, alors que l’intelligence que nous avons explorée chez le tout petit le mène à reconnaître avant tout la réalité.

    C’est ainsi qu’un système informatique vraiment intelligent, à défaut de posséder un esprit critique, devrait savoir déterminer les informations avérées. Mais, pour cela, il faudrait que ses algorithmes ne l’orientent que vers des sources fiables, essentiellement scientifiques, seules à même de reconsidérer chaque information devenue désuète pour mettre à jour ses connaissances.
Un système qui se contente de fouiller le net a en effet de fortes chances de s’approprier des inepties reproduites à des millions d’exemplaires sur les réseaux sociaux.

« Un grand merci au chat et à sa sagesse. »

« L’esprit critique est la seule porte qui débouche sur le chemin de la liberté. »

7 – Comment échapper à l’influence pernicieuse de l’IA… tout en bénéficiant de ses capacités d’information ?

    A - Par la recherche :

    Bien entendu, il ne s’agit pas de bannir l’IA de nos ordinateurs ou de nos portables, car les connaissances avérées qu’elle nous apporte ne peuvent qu’enrichir notre savoir. Le but souhaité est de conserver, ou reconquérir, ce que l’IA peut nous faire perdre, à savoir la curiosité et la recherche de la vérité.
Cela signifie accepter la remise en question permanente des savoirs qui, depuis que le monde existe, sont en perpétuelle évolution.


    Aujourd’hui, on sait qu’un risque existe de recueillir une fausse information. Il est donc devenu indispensable de vérifier systématiquement celle qui nous est délivrée. Et il est tout autant nécessaire de partager l’information vérifiée.

    - Alors, en tout premier lieu, ne jamais se fier à des forums ou des réseaux sociaux pour obtenir des informations fiables. D’une manière générale, la liberté d’expression que défendent certains est la liberté de deux formes contradictoires d’expression, l’une informant, l’autre désinformant. De plus, les réponses consistent davantage en avis personnels (Je pense que... On m'a dit que... Je connais quelqu'un qui...) qu'en réponses fiables.

    - Ensuite, n’utiliser qu’une IA qui indique ses sources, et comparer les différentes sources proposées : par exemple, le moteur de recherche français Qwant ne dépose pas de cookies, met à disposition un moteur destiné aux enfants (Qwant junior) et son IA indique clairement toutes ses sources.

    - Lorsque notre IA favorite nous mène sur des chemins hasardeux, une autre piste consiste à préciser les mots clés qui vont la rendre plus intelligente, par exemple pour une information médicale, préciser : Centre Hospitalier, CHU, INSERM... Pour une information scientifique : CNRS, revue Nature, Science et Avenir, Science et Vie…
Si les simples initiales ne sont pas prises en compte par l’IA, il peut être nécessaire d’indiquer « centre hospitalier ou centre hospitalier universitaire en entier [cf : comment mener une recherche].
Il faut se méfier aussi de l’apparition de publicités qui vont surévaluer la qualité de l’appareil ou du médicament conseillé, ainsi que des IA qui s’imposent dans votre recherche : elles ont certainement quelque chose à vous imposer !

- En dehors de nous livrer une information immédiate, l’IA présente un autre avantage : elle permet de vérifier la fiabilité d’un site. En la dirigeant vers l’adresse en question, on met un intermédiaire entre son ordinateur et un site potentiellement dangereux.

    - Enfin, pour éviter de se ridiculiser auprès de ses admirateurs en partageant des fake-news, on peut également utiliser une IA comme Vera, outil créé par le collectif « lareponse.tech » connecté à plus de 400 sources fiables via WhatsApp.

    B - Par le jeu :

        A une époque où les jeux en ligne sont courants et recherchés, un jeu ouvert à tous pourrait être mis en place pour déterminer, par exemple, et sans tricher :
- Quel produit chimique potentiellement dangereux se retrouve dans cette lotion pour cheveux vantée pour ses résultats extraordinaires ?
- Quel impact sur la biodiversité de ce même produit ?
- Quel influenceur détient le record de mensonges ?
- Quel site détient le record de fake news ?
(Par exemple : Le réseau russe Pravda, avec 17.000 articles par jour, est le plus gros désinformateur du monde, ayant publié 6,3 millions d'articles via 286 sites en 49 langues).

    Il pourrait même être délivré de petites récompenses :
- 50€ à celui qui énumèrera le plus de sites de désinformation.
- 30€ au premier qui énumérera la totalité des mensonges cachés dans la publicité "X".
- Depuis sa création, quel produit alimentaire industriel a fait le plus de morts ?
- Quelle boisson détient le record de cas de diabète et d’obésité ?
(Ex : Les boissons sucrées sont responsables de 2,2 millions de nouveaux cas de diabète de type 2 et 1,2 million de maladies cardiovasculaires par an dans le monde, selon une étude de l'université américaine Tufts).
- Quel mot est masqué dans la description suivante ?
La consommation excessive de xxxxxxxx peut entraîner des problèmes cardiovasculaires, une dépendance à la caféine, des troubles neurologiques (anxiété, hallucinations, convulsions), une déshydratation et des problèmes dentaires.
- Quel personnage se cache dans la description suivante générée par IA ?
xxxxxxxx est souvent cité pour ses décisions politiques jugées stupides et dangereuses, marquées par une ignorance confiante, un manque de contrôle et un narcissisme démesuré, avec plus de 30 000 mensonges durant sa présidence.

    De nombreux concours sous forme de loterie pourraient ainsi être proposés sur les réseaux et nous enrichir, outre l’argent, d’une grande connaissance de l’âme humaine.

        Conclusion :

    Nous avons pu voir que les premières recherches de l’informatique avaient échoué en créant des logiciels copiant le fonctionnement du cerveau adulte. Puis, en s’inspirant du développement de l’enfant, les chercheurs ont ouvert la voie à l’apprentissage des modèles.
Cette innovation a fait ses preuves mais, exploitée aujourd’hui dans les seuls buts du pouvoir et du profit, elle pourrait bien échouer à devenir une véritable intelligence. En effet, si l’intelligence de l’enfant se développe grâce à sa sensibilité, l’ « intelligence » (sic) des machines ne s’appuie que sur des textes dénués de toute émotion. En puisant sa source dans le langage de l’homme, elle insère, dans sa capacité de mémorisation et de tri, tous les démons qui habitent aujourd’hui l’esprit d’« insensatus ».

    Mais rien n’est tout à fait perdu, et peut-être qu’un jour…

    En attendant ce jour, vérifiez les sources proposées, même les informations sur le site dont vous consultez une page en ce moment. Les découvertes de la science évoluent très vite, et tout ce qui était valable hier peut s’avérer obsolète aujourd’hui et le sera immanquablement demain.

« Seules les convictions sont immuables. »














Personnage qui dit au revoir





- La communication chez homo sapiens : (bientôt)


Bibliographie :